Smile Gallery

Transform Your Smile: Before and After Photos

Explore the gallery to see the dramatic before and after results and discover how we can help you achieve the smile you've always dreamed of.

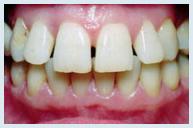
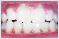
Teeth Whitening - Case 1

Your teeth can become discolored due to drinking coffee or tea, smoking, even medications and age. In about an hour, you can erase all of this discoloration, and walk out with a whiter, brighter, and healthier looking smile.

Teeth Whitening - Case 1 Before
Before
Teeth Whitening - Case 1 After
After

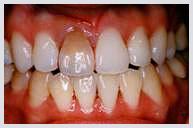
Teeth Whitening - Case 2

Here whitening was successful in fixing a very dark stain on a single tooth as well as improving the overall color of the rest of the smile.

Teeth Whitening - Case 2 Before
Before
Teeth Whitening - Case 2 After
After

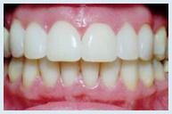
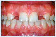
Teeth Whitening - Case 3

In this example, whitening was used to make a great smile even more brilliant and beautiful.

Teeth Whitening - Case 3 Before
Before
Teeth Whitening - Case 3 After
After

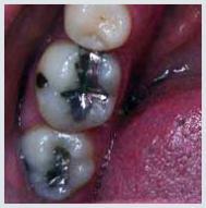
Composite Fillings - Case 1

With composite, tooth colored fillings, we can eliminate those unsightly silver-black fillings with a more conservative, aesthetic option.

Composite Fillings - Case 1 Before
Before
Composite Fillings - Case 1 After
After

Composite Fillings - Case 2

Here is another example of composite fillings and how this 'metal-free' solution is a more pleasing option.

Composite Fillings - Case 2 Before
Before
Composite Fillings - Case 2 After
After

Composite Fillings - Case 3

With composite, tooth colored fillings, we can eliminate those unsightly silver-black fillings with a more conservative, aesthetic option.

Composite Fillings - Case 3 Before
Before
Composite Fillings - Case 3 After
After

Composite Fillings - Case 4

Here is another example of composite fillings and how this 'metal-free' solution is a more pleasing option.

Composite Fillings - Case 4 Before
Before
Composite Fillings - Case 4 After
After

Dental Implant

Example of using implants to replace missing teeth.

Dental Implant - Case 1 Before
Before
Dental Implant - Case 1 After
After

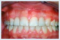
Orthodontics

Example of an adolescent ortho case which took 24 months to complete.

Orthodontics - Case 1 Before
Before
Orthodontics - Case 1 After
After

Bonding - Case 1

This is an example of bonding used to repair chipped tooth that was caused by a fall.

Bonding - Case 1 Before
Before
Bonding - Case 1 After
After

Bonding - Case 2

This is an example of bonding used to repair chipped edges, to help create a full aesthetic smile.

Bonding - Case 2 Before
Before
Bonding - Case 2 After
After

Veneers

Example of porcelain laminate veneers.

Veneers - Case 1 Before
Before
Veneers - Case 1 After
After

Crowns - Case 1

With a crown, we are able to transform a broken tooth into a natural healthy looking tooth.

Crowns - Case 1 Before
Before
Crowns - Case 1 After
After

Crowns - Case 2

By the restoration of a crown, we are able to transform a broken tooth into a natural healthy looking tooth.

Crowns - Case 2 Before
Before
Crowns - Case 2 After
After

Make your dream smile a reality! Call us at 951-268-7637 OR 951-268-7MDS